Restoring Smiles, Transforming Lives
Empowering patients with life-changing dentistry. It’s more than our vision statement – it’s what we do every single day. Because behind every treatment, there’s a story.
“For my team and I, your smile is so much more than your gums and teeth – it’s your connection to the world. Smiling is one of life’s greatest joys, and it’s our mission to help you feel that joy every single day. We want you to love your smile fully and unconditionally, so that when the cameras come out, and your big moment arrives, you can just…smile.” – Dr. Lawson


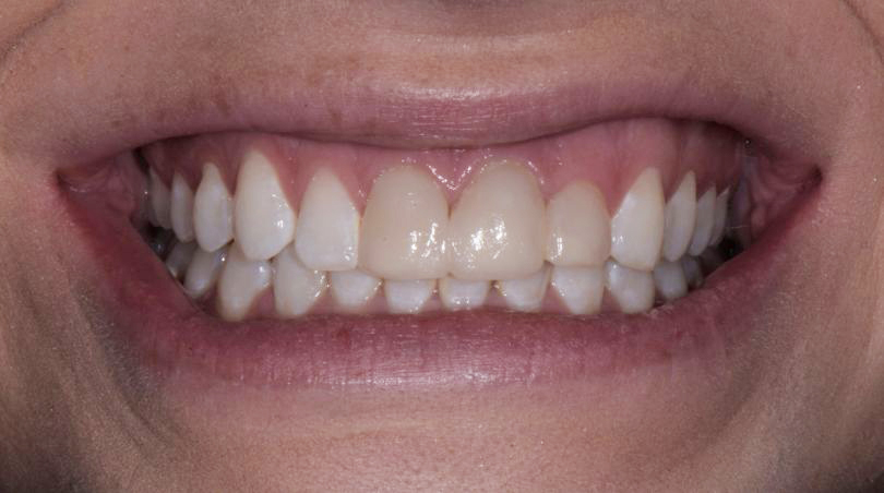
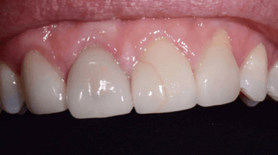
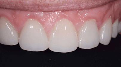
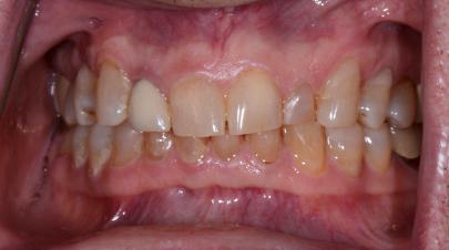
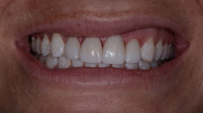
Veneers, Full-Mouth
Reconstruction, & TMJ Treatment
This young professional came to us for a second opinion after his recently placed veneers began to fracture and come loose. He was also unhappy with the “unnaturally bright white” appearance and wanted a smile that looked more natural and age-appropriate. While veneers had originally been placed to help align his teeth, he later realized there were several aspects of his smile that didn’t feel right to him.
We redesigned and replaced the “cosmetic 10” veneers as part of a full-mouth reconstruction, improving both the esthetics and function of his bite while addressing TMJ posture and airway considerations. The result is a natural, balanced, and age-appropriate smile that looks harmonious and feels comfortable—and the patient couldn’t be happier with the transformation.
“The patient is confident, pleased and comfortable, and now has a healthy joint, bite and alignment that will have great longevity!”
Veneers & Teeth Whitening
This young woman came in seeking options to improve her front teeth before her wedding so she could smile confidently without covering her mouth. She had childhood trauma, and three incisors had been treated with root canal therapy and cosmetic bonding. Over time, the bonding had yellowed, the shapes were not ideal for lip closure, and it was affecting certain speech sounds, contributing to a slight lisp.
After discussing all options, we chose ceramic veneers to prevent the staining common with composite bonding and to achieve more natural translucency and shading. The ceramics also provide better protection for teeth weakened by root canal therapy, which is especially important for daily biting and tearing.
“After professional whitening to blend adjacent natural teeth, and four veneers to keep the symmetry of her smile, this bride was smiling ear to ear! – Dr. Lawson”




Dental Implant
When a previously restored tooth (upper right lateral incisor) broke at the gumline and was deemed non-restorable, this patient faced several replacement options. He chose a dental implant because it preserved bone, avoided damaging adjacent teeth with existing crowns, and used a durable titanium root replacement. Additionally, by placing the implant immediately after extraction, the treatment time was shortened by three months, allowing for a fixed, non-removable tooth in six months instead of nine.
“Many patients don’t know it’s not just the teeth shape and shade that make or break an aesthetic case – it’s also the appearance of the tissue. We (and the patient) are thrilled with the attention and time given to this case. – Dr. Lawson”
Implant-Supported
Bridge/Lower Partial
From troubles with gum disease, to osteoporosis and medication side effects, this beloved patient of ours had experienced a number of complications regarding her oral health and was ready for a solution. Using a combination of root canal therapy along with snap-on and implant-supported dentures, Dr. Lawson was able to transform her life and give her a smile that is functional and beautiful.
“What a privilege to be able to problem-solve systemic health issues, bone density, function, comfort, and cosmetics, and to change a life…not to mention gain a great friend. – Dr. Lawson”




Veneers
This patient was concerned about the symmetry of his teeth and persistent stains that had built up over time, but with veneers, we corrected both the shape and color of his teeth, giving him a smile that he’s proud to share with the world.
“I used to be afraid to smile, but now I’m grinning from ear to ear.”
Bridges & Crowns
When this patient’s granddaughter asked him why he never smiled, he knew it was time to do something about the decay, discoloration, and gaps in his smile. Using bridges and crowns, we helped restore not only the look of his smile, but the strength of his bite as well.
“I can finally laugh and smile with my granddaughter.”




Veneers & Crowns
Acid reflux had caused this patient’s teeth to become shortened and discolored, and he wanted to make a change before the damage got worse. Applying a combination of veneers and crowns, we revitalized his smile and provided him with a custom-fit night guard to protect his brand new smile.
“I never knew dentistry could make such a big difference.”
Whitening & Veneers
This young, successful entrepreneur had plenty to smile about, but she was always hiding her smile because she felt like her teeth were too bulky and made her smile curve down rather than up. 4 veneers and one whitening treatment later, she finally loves her smile.
“With my new smile, I can confidently be the face of my business.”




Veneers
Having received veneers and orthodontic work in the past, this patient still wasn’t happy with the look and size of her teeth. She was very particular about achieving a subtle, natural look for her smile, and was thrilled with the results of her new veneers.
“With other dentists, the results just weren’t perfect. Then I met Dr. Lawson.”
Veneers & Crowns
Even after going through years of orthodontic treatment, this patient still had nagging doubts about the size, shape, and alignment of their teeth. But by applying crowns and veneers to their 6 upper front teeth, their dream smile was no longer a dream.
“I thought I’d be stuck with bad teeth forever. This is a dream come true.”




Sleep Apnea and
Restorative Treatments
After a life-threatening heart attack changed this patient’s life, he decided to invest in himself! Initially, he wanted to restore his smile and undo the bruxism that had worn his teeth down. Dr Lawson explained, however, that teeth don’t just shorten for no reason and recommended he be tested for sleep apnea. Sure enough, he tested positive and benefitted from the life-saving treatment of a CPAP and a sleep apnea appliance. Once we knew he could no longer destroy his dentition with sleep-related bruxism, we restored his entire dentition to length. Now, he is thrilled with his new smile!
Trial Smile Design
As a seasoned dental assistant, she’d worked
at multiple offices with several dentists, but she
only trusted Dr. Lawson to work on her smile.
As a seasoned dental assistant, she’d worked at multiple offices with several dentists, but she only trusted Dr. Lawson to work on her smile.
